Most of these patients were told by others their case was untreatable with braces.
CASE 1
CASE 8: SEVERE ROTATION
“Thank you and your wonderful staff for giving me the smile I thought I would never have.”
Lines Colon
Gardner, MA.
CASE 9: CROSS-BITE
Other Interesting Orthodontic Cases
5 Year Recall after 6 Month Braces
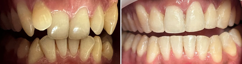
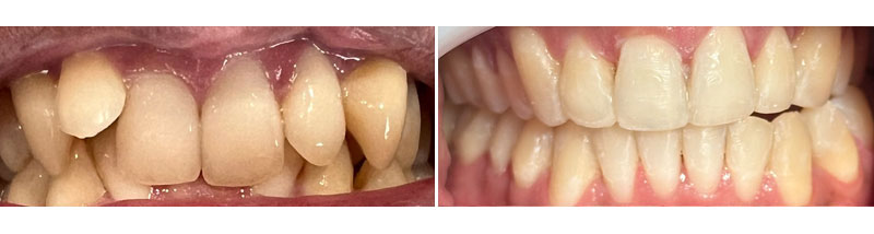
A word about cosmetic dentistry.
Our work is focused on making your teeth, bite and smile as beautiful and natural as possible. However with any cosmetic service it’s important to understand that we work with what biology has given us. We can never guarantee perfection and can only guarantee to give 100 % towards the best result as reflected by the cases on these pages which are a fair representation of what we strive to deliver while also reflecting our limitations.
















