Invisible Braces
Get straight teeth in just six months with behind-the-teeth braces, the perfect solution for adults seeking discreet orthodontic treatment.

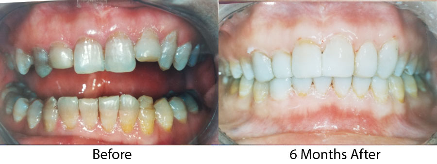
“Notice shape and color. The patient had severe tetracycline staining of her teeth and didn’t want porcelain. Braces and bonding were used to give her a beautiful smile.”
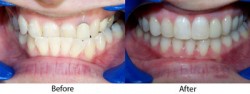
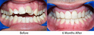
Straight teeth in six months with invisible braces.
Boston 6 Month Invisible Braces are mounted behind your teeth on the lingual or tongue side. Nothing can be seen from the front! Invisible braces are a popular solution for adults who need braces, offering a discreet and comfortable orthodontic treatment option that aligns teeth effectively and without drawing attention. They are custom-made to fit the backs of your teeth, so no one will notice you got braces while wearing them! These behind-the-teeth braces allow much more control. Therefore the timeline to straight teeth is much shorter. Compared to Invisalign, lingual braces fix your teeth in HALF the time that Invisalign does.
Dr. Georgaklis specializes in getting patients straight teeth fast with his six-month braces procedure and techniques. He uses the 6-month braces treatment to give his patients beautiful smiles in just six months. Each patient receives a personalized experience from the moment they walk into the Brookline dental office for orthodontics treatment.
6 Month Invisible Braces in the Boston area cost between $6,000 – $9,500, and are usually done with upper invisible and lower ceramic braces. In some cases, final detailing is done with clear braces in the front for 1 – 2 months. For these reasons, we only recommend lingual braces if you decline treatment with clear orthodontic braces on the front. Both treatments still follow the same six-month timeline, which is half the time of Invisalign clear retainers.
Dr. Georgaklis’ Cosmetic Work
In orthodontics, past results ARE the best predictors of future success!









