At Cleveland Circle Dental, you will enjoy a superior dental experience. This always starts with thorough patient education and communication so you have a clear understanding of why you need your procedure, followed with conservative but effective clinical results, and finally the ultimate in cosmetic finishing.

Cecelia Harvey
Very Grateful Patient
The Patriots had Tom Brady. The L.A. Lakers, LeBron James. In the world of Orthodontics there is Dr. Georgaklis.
Dr. G is a modern day wonder.. read more
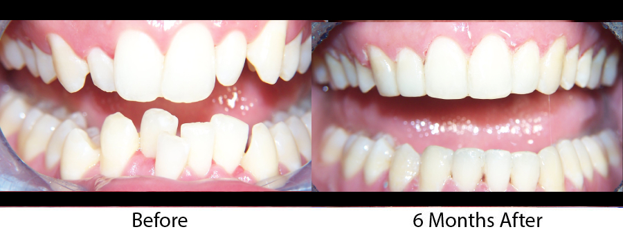
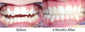
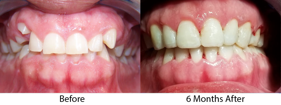
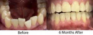
Straighten Your Teeth in 6 Months with Rapid Braces
THE DR G DIFFERENCE
See the Originator of the 6 Month Braces Technique
Our Boston Braces Results Are Hard To Beat!
Why Rapid Braces Orthodontics is the Top Brookline Braces provider

![]()
Dr. Clifton Georgaklis is a highly qualified practitioner who started his career in adult Boston orthodontics and general dentistry. He founded Cleveland Circle Dental Associates in Brookline, MA, in 1991. Today, the practice focuses on adult cosmetic orthodontics and serves the Boston area. Rapid Braces mean Straight Teeth in 6 Months with Clear braces or Invisible braces, also called Lingual braces. Many now advertise our technique without really practicing 6 Month Braces, but we are the only Boston orthodontics experts that can finish 90% of cases in 6 months. Our pictures tell the story.
Dr. Georgaklis lectures to dentists and orthodontists on his novel 6 month orthodontic technique. Many come to his Brookline office from throughout the country to observe Six Month Braces Treatment. He has been featured on Channel 7 news and treated many well-known dentists as orthodontic patients. Dr. Georgaklis’ Rapid Braces technique has changed how adult orthodontics is being practiced worldwide and has spawned various popular offshoots such as “Six Month Smiles” and Fastbraces since he published his technique in Dentistry Today in 1999.
Boston Braces
What has separated his treatment (since 1991) from conventional orthodontics is his focus on AESTHETIC dentistry, approaching the end result like a cosmetic dentist. He gives you your BEST smile, with unique orthodontic services in Boston such as tooth and gum sculpting and SMILE DESIGN, a NO RETAINER option (it’s behind teeth- even on the uppers), or free removable retainers (most charge $500 extra). Most orthodontists see 50-100 patients per day, while we see only 8-12 patients, which tells you how different our personalized orthodontics treatment approach is. The cost is equal to or less than conventional 1 – 2 year orthodontic treatment, and he can show you quality results he has published on 6-month braces because he was the first to originate the concept in 1991. This is truly the latest frontier in Cosmetic Dentistry. There are now numerous offices copying Dr. Georgaklis’ 6 Month Braces Technique and treatment philosophy as his articles and lectures have spread throughout the US and Europe. We are confident we can give you the smile you want in less time with Rapidbraces.
Cecelia Harvey
Very Grateful Patient
The Patriots had Tom Brady. The L.A. Lakers, LeBron James. In the world of Orthodontics there is Dr. Georgaklis.
Dr. G is a modern day wonder.. read more
Straighten Your Teeth in 6 Months with Rapid Braces
THE DR G DIFFERENCE
See the Originator of the 6 Month Braces Technique
Our Boston Braces Results Are Hard To Beat!
Why Rapid Braces Orthodontics is the Top Brookline Braces provider

![]()
Dr. Clifton Georgaklis is a highly qualified practitioner who started his career in adult Boston orthodontics and general dentistry. He founded Cleveland Circle Dental Associates in Brookline, MA, in 1991. Today, the practice focuses on adult cosmetic orthodontics and serves the Boston area. Rapid Braces mean Straight Teeth in 6 Months with Clear braces or Invisible braces, also called Lingual braces. Many now advertise our technique without really practicing 6 Month Braces, but we are the only Boston orthodontics experts that can finish 90% of cases in 6 months. Our pictures tell the story.
Dr. Georgaklis lectures to dentists and orthodontists on his novel 6 month orthodontic technique. Many come to his Brookline office from throughout the country to observe Six Month Braces Treatment. He has been featured on Channel 7 news and treated many well-known dentists as orthodontic patients. Dr. Georgaklis’ Rapid Braces technique has changed how adult orthodontics is being practiced worldwide and has spawned various popular offshoots such as “Six Month Smiles” and Fastbraces since he published his technique in Dentistry Today in 1999.
Boston Braces
What has separated his treatment (since 1991) from conventional orthodontics is his focus on AESTHETIC dentistry, approaching the end result like a cosmetic dentist. He gives you your BEST smile, with unique orthodontic services in Boston such as tooth and gum sculpting and SMILE DESIGN, a NO RETAINER option (it’s behind teeth- even on the uppers), or free removable retainers (most charge $500 extra). Most orthodontists see 50-100 patients per day, while we see only 8-12 patients, which tells you how different our personalized orthodontics treatment approach is. The cost is equal to or less than conventional 1 – 2 year orthodontic treatment, and he can show you quality results he has published on 6-month braces because he was the first to originate the concept in 1991. This is truly the latest frontier in Cosmetic Dentistry. There are now numerous offices copying Dr. Georgaklis’ 6 Month Braces Technique and treatment philosophy as his articles and lectures have spread throughout the US and Europe. We are confident we can give you the smile you want in less time with Rapidbraces.
5 REASONS WE’RE BETTER
Read about the difference at our office, our techniques, speed, quality, and expertise.

“I congratulate you for your innovative and thoughtful approach to the subject. I feel certain that many more people would have orthodontic therapy if it could be simplified and made more acceptable to them as adults… You are doing a great service to educate those who have interest.”
Dr. Gordon Christensen
Most Respected Evaluator of New Dental Techniques in the World
How We Do It

Our dental practice takes a comprehensive approach to your dental health. First and foremost, we focus on cleaning your teeth and addressing basic dental problems such as fillings. But that’s just the beginning. Our ultimate goal is to give you the beautiful, healthy smile you deserve being an orthodontic expert.
We can straighten your teeth in as little as six months using the latest orthodontic techniques using clear, metal, or invisible braces BEHIND THE TEETH. Our orthodontic Boston Braces procedure may involve sanding between teeth or sometimes removing a tooth to create more space. Very often, patients also notice a more comfortable bite, less wear on crooked teeth, less food collection in between teeth, and fewer gum problems in the future. We move your teeth small distances to stay straight and beautiful for years. After the orthodontic treatment, we use either retainers or splinted (connected) retainers behind the teeth to ensure that your teeth stay in their new, straight position. And for an even more dramatic final result, we can provide other cosmetic treatments such as gum, tooth reshaping, and bleaching. As a skilled general dentist, Dr. Georgaklis has a wealth of experience in these other cosmetic modalities and can help you achieve the smile of your dreams.




















