Six Month Boston Braces
Get straight teeth fast.
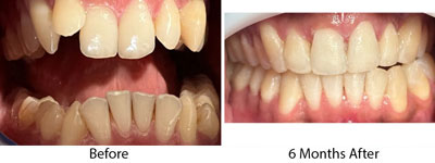
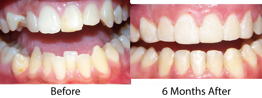
Serving Boston, Brookline, and the surrounding areas, Dr. Georgaklis completes 90% of orthodontics cases in six months.
Cleveland Circle Dental Associates in Brookline focuses on adult cosmetic orthodontics in the Boston area. Dr. Georgaklis specializes in clear braces for adults and invisible braces (lingual braces). His unique orthodontics services include tooth and gum sculpting, reshaping, and straightening. To Dr. G, there is no such thing as a case of untreatable teeth.
Boston Braces & Orthodontic Treatment
Dr. Georgaklis approaches the end result like a cosmetic dentist. He uses a mix of orthodontic treatments and dentistry techniques to give his patients their best smiles. While most orthodontists see between 50 and 100 patients per day, Dr. Georgaklis sees only 8 to 12. Appointments are longer, so he can achieve more. His patients receive personalized service and attention to detail from the minute they step into the small Cleveland Circle dentist’s office.
The Rapid Braces Difference
Your smile doesn’t have to suffer behind metal brackets and colorful rubber bands. Braces have come a long way. Dr. Clifton Georgaklis has revolutionized the entire orthodontic industry with his six-month braces orthodontic technique called Rapid Braces. Get straight teeth without the long-term commitment.

We offer both clear braces and behind-the-teeth braces (lingual). These invisible braces are attractive to adults who need braces because they aren’t as visible as typical metal braces. Clear braces use transparent bindings, while behind the teeth, braces are mounted to the back of the teeth (tongue side) so they are hidden from sight. Learn more about the different options at Rapid Braces during one of our free orthodontic consultations in the Brookline, Boston office.
Most orthodontists spend 5 to 10 minutes with you at your monthly adjustment. Dr. Georgaklis every single month will spend one hour with you detailing every adjustment to make sure the angulation, tip, tilt, rotation, profile, intrusion, and smile with is congruent with your face and as perfect as biologically possible and stable. This takes time and we are determined to do our best which is why we schedule one hour when you come to Cleveland Circle dental Associates in Brookline!
Dr. Georgaklis’ Boston Braces & Cosmetic Work
In orthodontics, past results ARE the best predictors of future success!
Schedule Free Consultation For 6 Month Braces Treatment Brookline Office

We understand many patients are hesitant to get Adult Braces because of the long treatment times, but our team works hard to get your braces off as quickly as possible. Over 90% of cases at Rapid Braces are finished in 6 months or less with our 6 Month Braces treatment option. Schedule a Free consultation for 6 Month Braces treatment so Dr. Georgaklis can examine your teeth and recommend the treatment options that would be best for you. We have a number of discrete adult braces options available so you can find braces that will work for you.











