Boston Braces Expert
Dr. Clifton Georgaklis has been practicing adult orthodontics and perfecting expert methodology for Boston Braces since 1991. Today, Cleveland Circle focuses on Straight Teeth in 6 Months.
Since Dr. Georgaklis pioneered this method, many new practices now attempt to advertise our technique – without a genuine grasp of the concept of 6 Month Braces. Cleveland Circle Dental is the only office that is actually capable of finishing these cases within 6 months.
As one of the leading practitioners of cosmetic dentistry and orthodontics in Boston, braces are a key part of what we do. Our approach means that we will give you the smile you want more quickly and more effectively than many other dentists in the city.
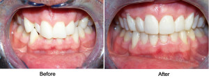
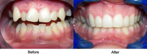
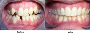
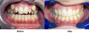
The pictures are worth a thousand words, and we have date stamps on them to show the amount of progress we are able to achieve in a small window. We look forward to being your provider, and we can help you achieve results in 6 months time – just call our office today and ask about Dr. Georgaklis’ 6 month Straight Teeth Boston Braces program. You can find our main line listed at the top of this page.
Real 6 Month Braces
In orthodontics, past results ARE the best predictors of future success! See our work…





