Straight Teeth in Six Months
Call Now for a Free Consultation: (617) 277-5200

Dr. Georgaklis

Dr. Clifton Georgaklis

Adult Cosmetic Orthodontics and General Dentistry
1798 Beacon Street Brookline, MA 02445


Call Now for a Free Consultation: (617) 277-5200
Brookline rapid braces

All Posts Tagged: six month braces

boston orthodontics

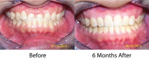
Get the Perfect Smile You Deserve in Just 6 Months

Let’s face it – having crooked teeth can really impact your self-confidence. It can affect the way you smile, the way you speak, and even the way you eat. Traditional braces can take years to straighten teeth, not to mention the discomfort and inconvenience they can cause. Luckily, there is a revolutionary 6 Month Braces technique that was originated in Boston by Dr. Georgaklis that can give you the perfect smile you deserve fast. In this blog, we’ll discuss everything you need to know about Rapid Braces and how it can help you achieve your dream smile.

 

What are 6 Month Braces?

 

Rapid Braces, also known as Rapid Orthodontics or Rapid Smiles, is a technique that uses high-performance braces and wires to move teeth quickly and effectively. Unlike traditional braces which can take years to accomplish the desired result, Rapid Braces works in just 6 months. This technique is perfect for people who want to straighten their teeth in a short amount of time without the hassle of long-term orthodontic treatment.

 

How does it work?

 

The Rapid Braces technique uses a customized approach to aligning teeth. This targeted pressure is what allows the teeth to move quickly and efficiently. Each patient’s treatment plan is customized to their unique needs, ensuring the best possible outcome.

 

Benefits of 6 Month Braces

 

The most obvious benefit of Rapid Braces is the shortened treatment time. You can achieve your dream smile in just 6 months, which is significantly less time than traditional braces. Other benefits include less discomfort, fewer office visits, and less time spent in the dental chair. Patients also report feeling more confident during their treatment since the brackets and wires are less noticeable than traditional braces.

 

Is it right for you?

 

Rapid Braces is a great option for people with mild to moderate misalignment issues. If you have more severe orthodontic issues, you may still be a candidate for Rapid Braces, but it depends on the severity of the issue. The best way to determine if Rapid Braces is right for you is to schedule a consultation with an experienced orthodontist who specializes in the technique.

 

Having crooked teeth can have a major impact on your self-confidence, but traditional braces can be a hassle and take years to straighten teeth. Rapid Braces, the revolutionary technique originated in Boston by Dr. Georgaklis, can give you the perfect smile you deserve in just 6 months. If you’re interested in Rapid Braces, schedule a consultation with an experienced orthodontist to determine if it’s the right option for you. Say goodbye to traditional braces and hello to the perfect smile you’ve always wanted, thanks to Rapid Braces!

Read More
Transform Your Smile

Transform Your Smile with Rapid Braces in Boston

Are you looking for an easy, effective way to transform your smile? If you live in the Boston area, Rapid Braces can help you achieve perfect teeth in as little as six months! With this revolutionary orthodontic technology, straightening your teeth has never been easier or faster. Let’s take a look at why you should consider getting Rapid Braces.

 

What are Rapid Braces?

Rapid Braces is a new type of braces that utilizes a series of small brackets and wires to straighten your teeth. Unlike traditional braces, which require frequent adjustments over the course of several years, Rapid Braces works quickly and efficiently to get your teeth into their desired alignment. This is because the brackets and wires used in Rapid Braces are constantly exerting pressure on your teeth, which causes them to move faster than with traditional braces. The end result is a beautiful smile in less time!

 

Benefits of Rapid Braces

One major benefit of using Rapid Braces is that it is much more comfortable than traditional braces. Since the brackets and wires used in this system are smaller than those used in regular braces, they cause less irritation and discomfort. Additionally, since the treatment time is much shorter than with regular braces, there is less risk of gum damage or mouth sores. Plus, the results of Rapid Braces are permanent; once your teeth have been moved into their correct positions, they will stay that way forever!

 

If you’re looking for a fast and efficient way to improve your smile then look no further than Rapid Braces! This revolutionary orthodontic technology uses small brackets and wires to straighten your teeth quickly and comfortably – all within six months! And with its numerous benefits such as comfortability and cost-effectiveness – it’s no wonder why so many people are turning to this innovative solution for their dental needs. So if you’re ready to transform your smile today—consider visiting an experienced orthodontist near Boston who offers rapid braces treatment! You won’t regret it!

 

Contact us today to schedule an initial consultation with Dr. Georgaklis. Dr. G will examine your mouth to see how your teeth are aligned to determine the best options for straightening them for a better smile. He can present the best available options and go over any questions you have about 6 Month Braces after seeing your smile.

Read More
invisible braces

Cosmetic Dentistry: Look Your Best for Big Events

Whether you’re getting married, walking across the stage to receive your diploma, or interviewing for a job, big events can make you want to look your absolute best. If you’ve been hesitant to smile due to imperfections in your teeth, cosmetic dentistry could be the answer. In this blog post, we’ll explore how cosmetic dentistry can help Boston-area working professionals look their best for special occasions.

What is Cosmetic Dentistry?

Cosmetic dentistry is a type of dental care that focuses on improving the aesthetics of a person’s teeth, gums, and smile. It involves various dental procedures that help enhance the overall appearance of a person’s smile and oral health. Common cosmetic dental treatments include teeth whitening, dental bonding, porcelain veneers, dental implants, and orthodontic treatments such as braces or clear aligners. These procedures can help improve teeth’ color, shape, size, alignment, and spacing, resulting in a more attractive and confident smile.

Benefits of Cosmetic Dentistry

The most obvious benefit of cosmetic dentistry is that it can give you a more attractive smile. Studies have shown that people with straight white teeth are seen as more attractive and successful than those with crooked or discolored teeth. Additionally, cosmetic dentists can improve the overall health of your mouth by removing plaque buildup, reducing cavities and gum disease, and correcting bite issues that may have caused pain or other oral health problems. Overall, cosmetic dentistry offers many benefits beyond just improving the appearance of your smile. It can also help improve the health of your mouth, alleviate pain, boost your confidence, and promote better oral hygiene habits for the long term.

How Can it Help You Look Your Best for Big Events?

If you have an important event coming up—such as a wedding or job interview—cosmetic dentistry could be just what you need to feel confident in your smile when the time comes. With professional whitening treatments, porcelain veneers, and other aesthetic procedures available at our office in Boston, we can help restore dull looking teeth back to their natural color while also fixing any chipped or broken teeth so they look like new again. Plus, we offer same-day treatments so if you’re short on time before an event we can provide quick solutions that will make sure you look your best when the day arrives!

A beautiful smile has the power to boost your confidence when it matters most—and when it comes time for an important event such as a wedding or job interview, having a great-looking set of pearly whites makes all the difference. Fortunately, Rapid Braces offers plenty of options for restoring dull or worn teeth and our 6 Month Braces treatment option so you can get straight teeth in 6 months or less. So if you’re looking for ways to look your best at upcoming special events in Boston area don’t forget about how cosmetic dentistry can transform your smile and boost your self-esteem–it could be just what you need!

Read More
Invisalign Alternative Boston

9 Reasons an Invisalign Alternative Could Be Right For You

Invisalign straightens teeth without the use of metal braces. Clear braces like Invisalign use a series of custom clear plastic retainers to slowly push and pull your teeth into the proper position over time. Less noticeable than traditional braces, Invisalign can be easily taken on and off. 

Traditional metal braces are not the only option when it comes to improving your smile. When undergoing treatment with clear braces, there are no metal brackets or wire. Invisalign offers an effective and discreet solution to a misaligned smile. Many adults who get braces opt for the 6 Month Braces treatment option at Rapid Braces so they can get their braces off fast.

Who can wear them?

Invisalign Alternatives like Clear Braces can be worn by both teenagers and adults. Closing gaps between teeth, treating overbite, underbite, open bite, crossbite, and an overcrowded mouth is all something that adult orthodontics treatment can help with. We can discuss whether an Invisalign Alternative is the right orthodontic treatment for you after an examination of X-rays of your teeth. 

How does the Adult Braces process work?

Examination, X-rays, and a 3D model of your teeth are all used to develop a personalized treatment plan for your Invisalign journey. How your teeth need to shift, and how long it will take all play into how your treatment plan will work. Your custom retainers are crafted after we take X-rays and complete a close examination of your teeth. You can also see how Clear Braces progressively corrects orthodontic issues when you visit the office for regular checkups. 

How Does Wearing Clear Braces Work?

Firstly, we check the fit of your Invisalign Alternative in our office to check for any necessary adjustments.  

Clear Braces fit smoothly into a normal day and is easy to wear. Simply place the clear braces over the teeth once you receive your aligners. For the first part, your aligners may fit tightly as your teeth are pulled into place.

How do Adult Braces feel?

Adult Braces are designed to be discreet and as comfortable as possible. Some mild discomfort may appear as your teeth start to move into position. The pressure applied from your braces will gradually fade over time. Please give us a call if you encounter any significant discomfort or pain. We will schedule an appointment with you to take a look at your teeth, gums, and braces to make sure no adjustments need to be made. 

How long will treatment take?

Treatment time for many orthodontists who offer Invisalign is often 1-2 years, but Dr. Georgaklis can get your braces off faster with his 6 Month Braces treatment. Over 90% of cases at Rapid Braces are finished in 6 months or less. Schedule an appointment to learn more about how you can get a beautiful smile fast at Rapid Braces.

Read More

Six-Month Adult Aesthetic Orthodontic Treatment

Six-Month Adult Aesthetic Orthodontic Treatment

Straight teeth in just six months.

Posted on Glidewell Laboratories.

While cosmetic dentistry has commanded more attention with recent breakthroughs — such as all-ceramic crowns, veneers, composite materials and intraoral cameras — the demand for adult cosmetic orthodontic treatment has also increased. It has been estimated that in 1970, only 5 percent of adults aged 18 or older sought consultations for comprehensive orthodontic treatment.1 In 1990, four times that number sought consultations for orthodontics.

Currently, adults present with chief complaints about the crowding of their teeth more frequently than anything else.2 Many adult patients want to straighten their teeth, but they are unwilling to wear braces for two or more years. Patients presenting with a physiologic occlusion and a desire for aesthetic improvement can benefit from orthodontic correction that requires only a short treatment time of six months or less. Adults who have their teeth straightened experience a better body self-image and higher self-esteem.3,4 The general public is focused on a noncrowded, aesthetic tooth arrangement more so than orthodontists, who are also concerned with occlusal and skeletal relations.5 A short, six-month treatment can very well enhance periodontal and occlusal aspects of the patient’s dentition. Treatment, therefore, serves as an adjunct to final periodontic and restorative treatment, even though the main focus remains cosmetic.

Simultaneously treatment planning the orthodontics with the cosmetics, crown & bridge, and periodontics in the same office facilitates a well-orchestrated cosmetic result, which can be more difficult to achieve through cross communicating between specialists. In this context, limited cosmetic orthodontic treatment is best done on patients who otherwise may not opt for comprehensive orthodontic treatment.

Method

The first aspect of case selection involves a discussion of the patient’s chief complaint. Patients are given a list of orthodontic and cosmetic problems, and asked to indicate their objective(s) for seeking treatment. In almost 90 percent of adult cases, relieving anterior crowding is the primary concern. This figure is based on 20 to 25 new orthodontic consults per month for six months in my general practice.

When the patient is committed to treatment, a database of information should be obtained: panoramic and full-mouth radiographs, intraoral and extraoral photographs, and models. A problem list is then reviewed with the patient, followed by a comprehensive treatment plan. The orthodontic aspect should be cosmetically oriented, specifically excluding skeletal problems. Because the profile and posterior occlusion are not to be changed significantly, a lateral cephalometric X-ray is not necessary.6

The treatment sequence includes the following:

  • Data collection and records;
  • Prophylaxis, fluoride application, oral hygiene instruction, and endodontic and periodontic disease resolution;
  • Extraction of third molars and a lower incisor when necessary (other teeth may rarely need to be extracted);
  • Cosmetic orthodontics; and
  • Bleaching, crowns and cosmetic bonding when indicated

If the patient prefers not to wear Hawley retainers, teeth can be retained by splinting once settling has occurred.

The Case for Enamel Reproximation

Because the postextraction health of the temporomandibular joint has been questioned, bicuspid extraction is now done with less frequency than in the past. It provides a result that is not always aesthetic or stable, has been slowly decreasing in popularity (almost 8 percent between 1988 and 1993), and remains controversial, varying widely among practitioners.7-10 Almost one and a half years is required to close the extraction spaces, and nonextraction patients have fuller lip support following treatment.11 Expansion is also a questionable method of treatment because long-term stability is doubtful.12

However, enamel reproximation allows for minimal localized tooth movements, fewer extractions, maintenance of lip support and shorter treatment time. Begg theorized that crowding of most dentitions is actually the result of decreased proximal wear, which our evolutionary predecessors once experienced.13 Therefore, enamel reproximation would seem to be the most natural available remedy for relieving crowding.

Enamel reproximation (air-rotor stripping) can be done for up to a 10 mm arch-length discrepancy. Sheridan recommends limiting reproximation to 1 mm per contact or 0.5 mm per proximal surface.14,15 Frequently, more than this can be done without noticeable change in tooth morphology or sensitivity because it’s done throughout six months in conjunction with fluoride treatments. It has also been theorized that the resultant flat interproximal contacts may actually increase post-treatment stability.16 Anterior lower arch crowding greater than 4 mm should be treated with the extraction of a lower incisor, followed by reproximation to minimize the black triangular space at the gumline. In most cases, a space determination is performed by resetting the teeth on the models with wax to measure the space required. This also allows a preview of the aesthetic result for both patient and doctor.

Appliances

Brackets should be bonded to the first molars using a straight-wire technique and NiTi wires. Posterior brackets with a larger (0.022) bracket slot placed in an ideal, aligned position minimize posterior occlusal changes. Successive reproximation using double-sided fine diamond discs (Brasseler) is followed by the use of fluted carbide burs for finishing and rounding enamel edges. Interproximal over-reduction can rarely cause transient tooth sensitivity.

All teeth should be gradually aligned with local reproximation, progressively heavier wires and chain elastics. The principal tooth movements include rotations, tipping and vertical movements as opposed to translation and root torquing. By minimizing root movement and bone remodeling, treatment time is decreased. Profile change, relapse and root blunting are also minimized, which is significant because root blunting can occur when moving roots greater distances throughout a longer period.

Retainer wear is recommended for six months (full time), six months (at night) and three nights per week until stability is achieved. Post-treatment fiberotomies should be performed for all rotations. Following two months of retainer wear to allow for occlusal settling, cosmetic alterations may be performed, such as cosmetic bonding, bleaching, all-ceramic crowns, enamelplasty and gingivectomies. Teeth deficient in a mesial-distal dimension (peg laterals, enamel erosions or broken teeth) should be built up before treatment to allow for proper final tooth positioning.

Case I

The patient presented with typical Class I crowding with aesthetics as the chief complaint. Rather than expand the arches into an unstable position prone to relapse in the adult patient, or reproximate lower incisors so much that they impinge on the gingival embrasures, it was decided to remove a lower incisor. The uppers were reproximated using a Brassler diamond disc and edges recontoured. The treatment was seven months and the patient was splinted afterward. Some molar supra-eruption occurred because of an anterior composite bite plane that relieved the deep bite and decreased the likelihood of further attrition in the anteriors.

 

 

Case II

The patient was referred by a local dentist who had done simple orthodontics, but who was not willing to treat occlusal problems. The patient had crowding with a bilateral crossbite that was causing both anterior and posterior attrition at a young age, requiring orthodontics.

The crossbite was corrected through the use of cross-arch elastics from the lingual of the upper molars and bicuspids to the buccal of the lowers. Enamel reproximation made space to treat the anterior crowding. Upper and lower bonded Ribbond splints served to reinforce the bonded incisal areas caused by attrition. It also provided resistance to fracture, as the splints produce a greater bonded surface area and composite thickness. An upper posterior Hawley retainer prevented relapse of the posterior crossbite.

 

 

Case III

This patient presented with the chief complaint of a large diastema. She had advice from numerous orthodontists who expressed different opinions regarding how to correct this (because of her deep bite and lack of lower spacing), as well as reservations regarding the possibility of successful retention. At our consultation, it was explained to the patient that our plan would include:

  • Upper and lower anterior retraction and possibly lower enamel reproximation because of extra space on the uppers;
  • A fixed composite bite plane on #8 and #9 lingual to relieve the deep bite by causing posterior supra-eruption;
  • Possibly redistributing excess space to the distal of the upper canines to limit the retraction required; and
  • An upper splint, which would be required. Removable retention is unacceptable in these cases. Therefore slight overjet in the final result is planned to make space for the splint.

 

 

Per usual protocol, a prophy, bitewings, panoramic X-rays and restorative work were completed first. The patient’s treatment lasted five and a half months, with splinting and bleaching occurring on the final visit. At recall, the patient’s Ribbond splints were intact as she was not a bruxer. It is unlikely that this case would have succeeded without fixed retention.

It has been estimated that in 1970, only 5 percent of adults aged 18 or older sought consultations for comprehensive orthodontic treatment. In 1990, four times that number sought consultations for orthodontics.

Conclusion

Six-month adult cosmetic orthodontic treatment has a 60 percent acceptance rate among new patient consults in my practice, and post-treatment satisfaction is high. Many adults who undergo treatment have previously declined comprehensive treatment in other offices. Enamel reproximation, extraction of a lower incisor for space and limited occlusal change are among the modalities making this treatment unique and well accepted by patients. Offering clear or lingual appliances increases the patient’s cosmetic options. Treatment planning the orthodontic and restorative phases together facilitates patient understanding and communication, and delivers an outstanding cosmetic service. Patients with TMD, skeletal chief complaints, severe over/underjet, occlusal problems or very deviated midlines may opt for comprehensive treatment by an orthodontist. However, for the majority of adult patients with simply unaesthetic, crowded, spaced, functionally efficient and non-TMD dentitions, dentists should focus on the aesthetic chief complaint by performing conservative attenuated treatment in the general practice.

References

  1. Gottlieb EL. 1990 JCO study of orthodontic diagnosis and treatment procedures: results and trends. J Clin Orthod. 1991;24:145-56.
  2. Nattrass C, Sandy JR. Adult orthodontics—a review. Br J Orthod. 1995 Nov;22(4):331-7.
  3. Varela M, García-Camba JE. Impact of orthodontics on the psychologic profile of adult patients: a prospective study. Am J Orthod Denofacial Orthop. 1995 Aug;108(2):142-8.
  4. Lew KK. Attitudes and perceptions of adults towards orthodontic treatment in an Asian community. Community Dent Oral Epidemiol. 1993 Feb;21(1):31-5.
  5. Cochrane SM, Cunningham SJ, Hunt NP. Perceptions of facial appearance by orthodontists and the general public. J Clin Orthod. 1997 Mar;31(3):164-8.
  6. Proffit WR. Contemporary orthodontics. 2nd ed. St Louis: Mosby; 1993. p. 155.
  7. Little RM, Riedel RA, Engst ED. Serial extraction of first premolars—postretention evaluation of stability and relapse. Angle Orthod. 1990 Winter;60(4):255-62.
  8. McReynolds DC, Little RM. Mandibular second premolar extraction—postretention evaluation of stability and relapse. Angle Orthod. 1991 Summer;61(2):133-44.
  9. Weintraub JA, Vig PS, Brown C, Kowalski CJ. The prevalence of orthodontic extractions. Am J Orthod Dentofacial Orthop. 1989 Dec;96(6):462-6.
  10. O’Connor BM. Contemporary trends in orthodontic practice: a national survey. Am J Orthod Dentofacial Orthop. 1993 Feb;103(2):163-70.
  11. Paquette DE, Beattie JR, Johnston LE Jr. A long-term comparison of nonextraction and premolar extraction edgewise therapy in “borderline” Class II patients. Am J Orthod Dentofacial Orthop. 1992 Jul;102(1):1-14.
  12. Glenn G, Sinclair PM, Alexander RG. Nonextraction orthodontic therapy: posttreatment dental and skeletal stability. Am J Orthod Dentofacial Orthop. 1987 Oct;92(4):321-8.
  13. Begg PR. Stone Age man’s dentition. Am J Orthod. 1954;40:298-312.
  14. Sheridan JJ, Ledoux PM. Air-rotor stripping and proximal sealants. An SEM evaluation. J Clin Orthod. 1989 Dec;23(12):790-4.
  15. Sheridan JJ. The physiologic rationale for air-rotor stripping. J Clin Orthod. 1997;31:609-12.
  16. Peck H, Peck S. An index for assessing tooth shape deviations as applied to the mandibular incisors. Am J Orthod. 1972 Apr;61(4):384-401.
Read More

A Six-Month Orthodontic Solution to Space Closure and Bite Collapse

A Six-Month Orthodontic Solution to Space Closure and Bite Collapse

Originally posted on Dentistry Today.

For patients who exhibit missing posterior teeth, bruxism, and a concomitant loss of vertical dimension often commonly occurring with anterior flaring and spacing1 (Figures 1 to 3); mainstream treatment consists of 1.5 to 2 years of orthodontic treatment to retract the anteriors and re-establish the collapsed vertical dimension. This is usually followed by removable retainer wear. It is important to restore the missing posterior support,2 and the patient should be given implants or bridges afterward.

CASE REPORT

Figures 1 and 2. Note palatal occlusion.
Figure 3. Note attrition.
Figures 4 and 5. Composite bite plane on teeth Nos. 6, 8, 9, and 11 intruded the anteriors and allowed passive eruption of posteriors.
Figure 6. After bridge cementation. Additional whitening procedures were recommended.

A patient who came to our general practice was given this treatment plan by 2 previous dentists with specialists in their offices. Eager to seek other alternatives, she presented for attenuated orthodontic and restorative treatment.
Treatment consisted of short-term, 6-month, fixed-orthodontic treatment by retracting the incisors to their original position before they migrated forward. The collapsed vertical dimension was increased through use of an anterior fixed composite bite plane. This is a flat-planed composite bite plane bonded to the lingual of the upper central incisors3 (Figures 4 to 6), prohibiting full closure. Through lack of posterior occlusion, within 3 to 4 months the posterior teeth exhibited significant passive supra-eruption, even without posterior vertical elastic wear (which may be used as an option to accelerate the process). At the same time, the incisor region is intruded through chewing. This occurs throughout the entire anterior region, as the teeth are essentially “splinted” through the orthodontic wire. In this way, even teeth without the composite bite plane are intruded. The ratio of posterior extrusion to anterior intrusion has been shown to be approximately 60:40.4

DISCUSSION

Figure 7a and 7b. Before and After.

Secure retention is an essential aspect of this case. Removable retainers are inadequate, as even slight space relapse will be cosmetically obvious; this is likely in an adult patient with fully formed dental arches and some bone loss.5,6 In addition, our practice occupies a niche in treating adults through short-term cosmetic orthodontics,7 and this demographic desires retention that is aesthetic. Furthermore, treatment is orthodontic in these cases and not orthopedic, so the results are less stable, thus requiring fixed retention. A lingual composite splint (Ribbond [ribbond.com]), where composite covers most of the tooth’s lingual aspect and can overlap onto the buccal aspect, is preferred. This can serve to augment small teeth, change shape and width by enhancing line angles, fill chips, and restore surfaces with attrition.8
In conjunction with the orthodontic space closure, posterior support must be provided, as the splint will fracture without posterior protection and incisor flaring will return.9 The increased vertical dimension would also be lost, since the posteriors would intrude. If implants are part of this plan, they should be placed before or during orthodontic treatment, not after. This case utilized 3 fixed bridges, helping to correct some mesial drift which may be caused by transseptal fiber contraction.10Temporary bridges were inserted the day the braces were removed, and the splints were placed. Permanent impressions were taken one month later to allow for gingival healing and minor occlusal settling (Figures 7a and 7b).

CONCLUSION
This treatment approach shows a rapid, straightforward solution for this common functional and aesthetic dental problem, which is frequently treated with a more complicated long-term plan, often prone to relapse.

CONTACT RAPID BRACES


References

  1. Kelly JT Jr. A multidisciplinary approach to restoring posterior bite collapse. Compend Contin Educ Dent. 1997;18:483-485,488-490.
  2. Reshad M, Jivraj S. The influence of posterior occlusion when restoring anterior teeth. J Calif Dent Assoc. 2008;36:567-574.
  3. Georgaklis CC. Alternative orthodontic treatment for adult crossbites and overbites. Dent Today. 2001;20:60-63.
  4. Lei Y, Zhang S. Clinical study on the orthodontic treatment of deep overbite with bite plane [in Chinese]. Hunan Yi Ke Da Xue Xue Bao. 1998;23:465-466.
  5. Brunsvold MA. Pathologic tooth migration. J Periodontol. 2005;76:859-866.
  6. Martinez-Canut P, Carrasquer A, Magán R, et al. A study on factors associated with pathologic tooth migration. J Clin Periodontol. 1997;24:492-497.
  7. Georgaklis CC. Six-month adult aesthetic orthodontic treatment. Dent Today. 1999;18:110-113.
  8. Georgaklis CC. Anterior retention with a reinforced composite resin splint after cosmetic orthodontic treatment. Dent Today. 2002;21:54-57.
  9. Greenstein G, Cavallaro J, Scharf D, et al. Differential diagnosis and management of flared maxillary anterior teeth. J Am Dent Assoc. 2008;139:715-723.
  10. van Beek H. Dissertation 25 years later. 1. Mesial drift of teeth by occlusal forces [article in Dutch]. Ned Tijdschr Tandheelkd. 2004;111:48-51.
Read More

6 Month Braces: How Is It Possible?

6 Month Braces: How Is It Possible?

Get straight teeth in just six months with Dr. Georgaklis’ Rapid Braces treatment. He specializes in clear braces or invisible braces for adults and promises to give you your best smile.

rapid braces Boston

Adults who need braces shouldn’t have to suffer for a long time period with metal brackets on their teeth — let Rapid Braces be the solution for you! This Brookline dental office is the only office to complete 90% of cases in six months or less. Adults can wear clear braces or invisible braces and see results faster! These also are a better alternative to Invisalign, as they control your teeth with more force and take less the time.

How does Dr. Georgaklis do it?

First, he makes sure that every patient at his Boston area dental office gets personalized treatment the moment they walk through the door. He schedules each patient for longer visits, allowing him to get more done during one appointment. Most orthodontists see their patients for five to fifteen minutes, while Dr. G sees his patients for an hour.

Dr. Georgaklis uses his professional experience to mix cosmetic dental practices with orthodontic techniques to give his patients straight teeth fast.

In order to treat patients within six months, this Boston area dentist uses special techniques like:

  • using special wires that don’t fatigue
  • sanding in between the teeth
  • not removing any teeth
  • reshaping gums and teeth
  • not changing the bite or profile unless needed (although this can often times be done in six months)
  • straightening front teethadult braces

These procedures give you a perfect smile with proportionate and straight teeth! After six month braces, Dr. Georgaklis fits his patients with a fixed retainer behind the teeth. This lingual retainer prevents movement, giving you straight teeth for life!

To learn more about the Six Month Braces treatment, click here. You can book your free consultation today!

Read More

Using Orthodontic Techniques for Straight Teeth

Get Straight Teeth in Six Months with Orthodontic Techniques

Dr. Clifton Georgaklis has revolutionized dentistry with his 6-Month Braces. He uses his own techniques and knowledge combined with orthodontic techniques to create Rapid Braces.

Most orthodontists will tell you that you’ll need at least two years to get straight teeth. Dr. G can make it happen in six months. Orthodonotristry focuses on the treatment of improper bites and misaligned jaws, with straightening teeth as an added visual aesthetic. At Rapid Braces, getting straight teeth is the focus. Typical orthodontists see between 50 and 100 patients per DAY, but Dr. G only sees 8 to 12. He gives each of his patients a personalized experience.

The 6-Month Braces technique has two options: clear braces or invisible braces. Clear braces are done with transparent materials and plastered on your teeth like normal braces; but invisible braces are attached to the back of your tooth so they aren’t visible.

Rapid Braces can fix a number of different problems with the alignment of your teeth to give you the best possible smile. We’ve closed gaps, moved teeth to the right position, straightened crooked teeth and even spaced out crowded teeth. The experts at Rapid Braces are able to complete over 90% of cases in six months. Just read some of our patient testimonials to hear more!

“I will never forget your promise to me that the treatment would take 6 months. I have to admit I did not believe you. My hopes were that the treatment would be completed within a year. You amazed me by finishing in just 5 months!…If there were slogans in orthodontics, yours should be ‘underpromise, then over-deliver.’ Thank you so much for improving my teeth, my smile and my life.” —Hans Brings, Waltham, MA

 

“I have never been happy with my smile because of crooked teeth. I have seen many orthodontists and they have all said 2 years. I met a man who told me this particular dentist could straighten teeth in just 6 months. While sitting in the waiting room, I looked at pictures of previous patients and said to myself, ‘this man is not an orthodontist, he is a miracle worker.’ The day my braces came off, my smile looked so magnificent I could have cried. I felt like a totally changed woman. I would have never have gotten braces if I had to wear them for 2 years. Who says you’re too old to get braces and change your life? Dr. G. You are my hero!” —Dannetta Smith, Boston, MA

 

Schedule your consultation today.

 

 

Read More