After beginning traditional braces treatment many individuals will try their hardest to hide their smile. Having all that metal and different colored bands in their mouth makes them feel like everybody is looking. Because of this, a number of patients will choose not to undergo treatment and miss the opportunity for straighter teeth. At Rapid Braces in Brookline we offer treatments designed to keep your oral care as discrete as possible. Clear braces are an effective way to get a perfect smile.
With clear braces you won’t have to deal with unsightly metal braces taking over your mouth for a few years. Clear braces are recommended for many patients due to their low cost and history of providing great results. They still use the same amount of force as regular braces but the brackets are clear so that they blend in with your teeth. Your smile will still be just as bright after getting your invisible braces put in. The transparent material that the brackets are made of won’t give you anything to hide.

Pros to clear braces:
- Much less noticeable than metal braces
- Teeth are moved faster than invisalign retainers
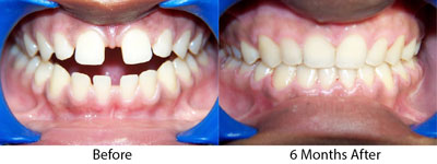
Patients who get clear braces at Rapid Braces can get the 6 month clear braces treatment. Dr. G has been using the Rapid Braces technique for almost 20 years and 90% of his patients are able to complete treatment in 6 months or less. Getting straight teeth is the number one reason patients choose to get braces and Dr. G understands how important a perfect smile is. He approaches his treatment with a focus on dental cosmetics and will do whatever he can to ensure his patients leave with a perfect smile.
Many competitors claim that they are able to give patients straight teeth in 6 months or less but Dr. G is the only one with numbers to back it up. Rapid Braces has put a focus on offering perfect smiles in 6 months or less and is able to finish treatment with 90% of his patients in that timeframe. Get in touch with Rapid Braces to find out how you can get straighter teeth fast.




